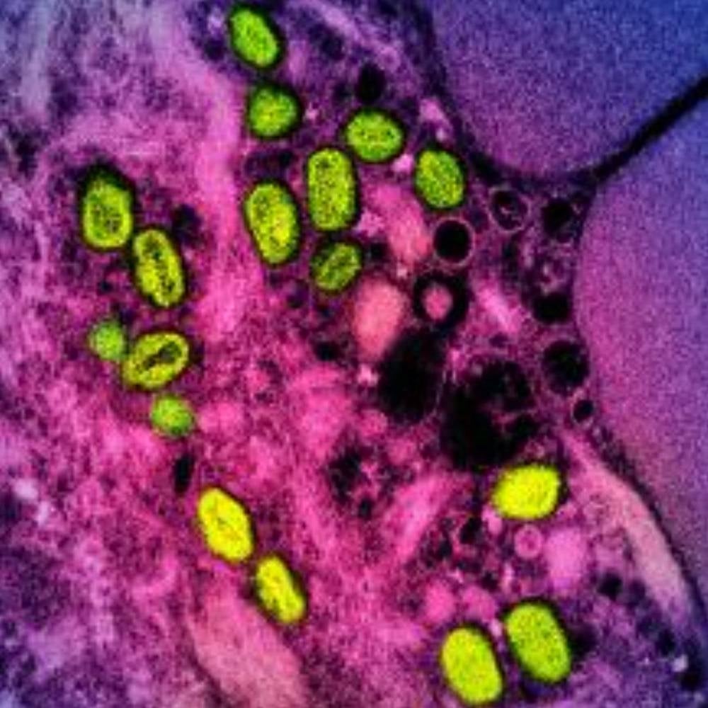
Vietnam records first monkeypox death

HANOI - Vietnam recorded its first death from monkeypox, who was a 29-year-old man from Long An Province in southern Vietnam, Vietnam News Agency reported Wednesday.
He was infected with both monkeypox and late-stage HIV/AIDS.
The patient was admitted to Ho Chi Minh City Hospital of Tropical Diseases on Oct. 2 with fever and blisters.
He was infected with Candida and had pneumonia, which later progressed into septic shock and multiple organ failure.
He died after 18 days of treatment with ventilators, blood filtration and antibiotics.
Ho Chi Minh City has recorded 20 monkeypox cases since the beginning of this year. Among them, 18 patients including 17 men and one woman tested positive for HIV.
All cases are being quarantined and treated at the city's Hospital for Tropical Diseases. - XINHUA
Download Sinar Daily application.Click Here!
